Gummy Smile

Case #1

Before

After

Case #2

Before

After

Case #3
This 23 year old female presents with two complaints regarding her smile. She is unhappy with the appearance of her front tooth that was previously restored with a porcelain fused to metal restoration. She feels like her smile is unbalanced. After consulting with her restorative dentist regarding our findings and the patient’s desires, we presented the following treatment plan: a hard tissue crown lengthening on her right side to match the length that she has on the left followed by veneers on teeth #4-13.

Before

After

Before

After

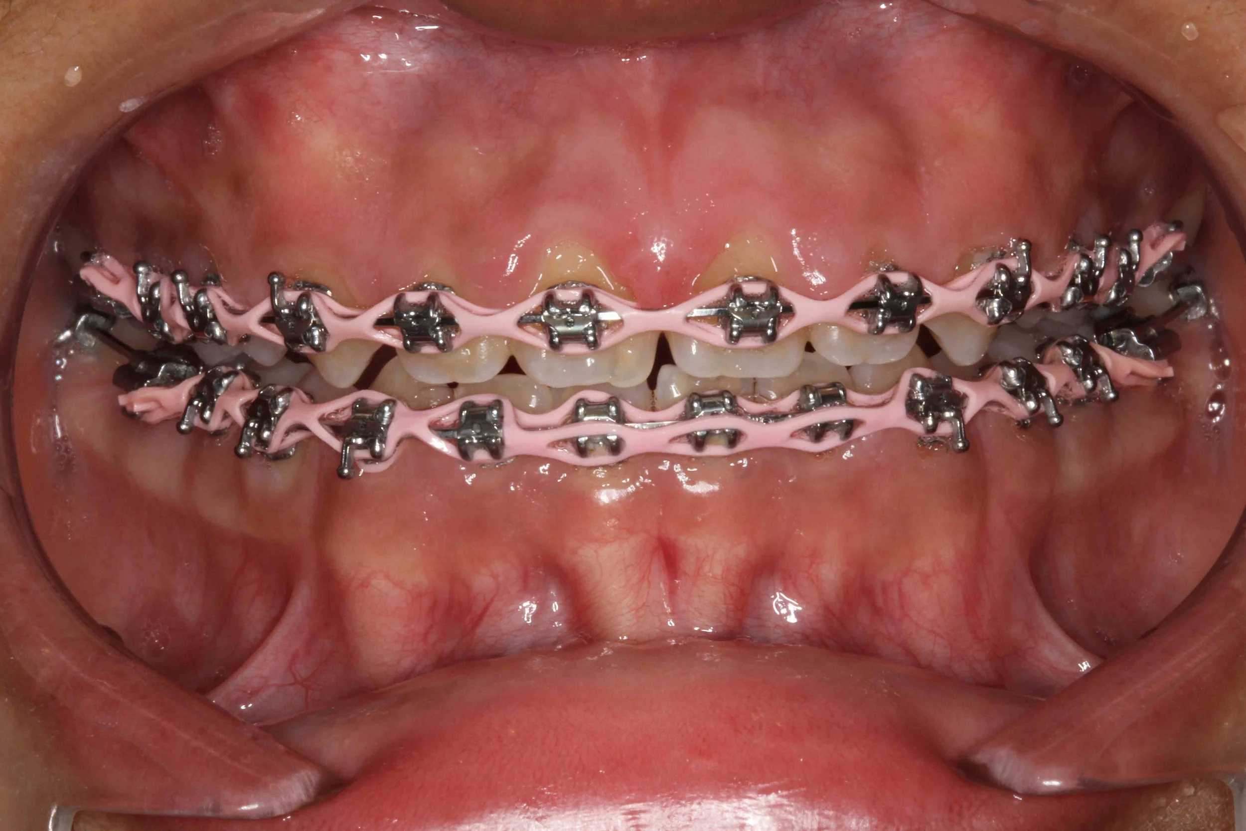
Case #4
This otherwise healthy, active 13 year old male presents with Gingival Hyperplasia as a result of his less than idea oral hygiene and his orthodontic appliances. By eliminating his excess gum tissue, his orthodontic care can progress and his brushing can be improved.

Before

After

Case #5
This 27 year old School Teacher wants a new smile! She presents with several challenges. She has chipped teeth, exposed tooth roots, worn teeth etc. However, by doing what is known as "esthetic crown lengthening" we were able to provide her dentist with a "level table" to place her veneers on.

Before

After

Case #6
This 15 year-old Pleasant Grove, Utah patient presents with a "gummy smile". She would really like to show more tooth length and less gingival tissue when she smiles. A relatively common procedure called 'Crown Lengthening' was performed to eliminate the excessive gum tissue and enhance the hidden beauty of her existing teeth and smile!

Before

After